Die Arthrose des Kniegelenks (Gonartrose) ist eine degenerative Erkrankung, bei der der Knorpel dünner ist. Nach Statistiken leidet jeder fünfte Einwohner des Planeten an dieser Pathologie. Dieser Artikel wird die Hauptursachen für Arthrose, seine Symptome in jedem Stadium sowie die Methoden der Diagnose und Behandlung berücksichtigen.
Ursachen
Jeden Tag erleben die Kniegelenke beim Gehen eine große Ladung. Immerhin müssen sie der Masse des gesamten Körpers widerstehen. Infolgedessen wird das Knorpelgewebe allmählich abnimmt, was die Ursache für pathologische Veränderungen in den Knien ist.
Die Risikogruppe umfasst Personen:
- ältere Menschen,
- unter Übergewicht leiden,
- Osteoporose und Stoffwechselstörungen haben,
- Ich habe noch nie eine Verletzung des Kniegelenks erhalten,
- bestimmte Berufe vertreten,
- Leiden unter Mangel an Mikroelementen,
- mit schweren Sportarten beschäftigt.

In den meisten Menschen von 40 Jahren finden Sie in der zweiten oder nachfolgenden Entwicklungsphase das Vorhandensein von Arthrose.
Die Hauptsymptome
Natürlich können Änderungen im Knorpelgewebe ohne Symptome nicht stattfinden. Mit einer Krankheit kann sich eine Person beschweren:
- Ein Gefühl der Unbehagen in den Knien nach dem Aufwachen oder Long -Inine in sitzender Position,
- Beinschmerzen nach einer langen Position,
- ein brennendes Gefühl beim Klettern auf den Berg und die Treppe hinauf,
- Schwäche in den Beinen nach einer leichten Last sowie am Ende des Tages.
- Einige Patienten sind auch nachts im Schlaf besorgt.
Wichtig! Die Krankheit tritt nicht abrupt auf, sie entwickelt sich im Laufe der Jahre. Schmerzen in den frühen Stadien können unbedeutend sein, aber im Laufe der Zeit steigt im Laufe der Zeit anhaltend.
Hohe Arthrose des Kniegelenks 1 Grad
In diesem Stadium beginnt Gonartrose gerade ihre Entwicklung, daher geht der Prozess für eine Person fast asymptomatisch. Einige Anzeichen sind jedoch immer noch zu sehen.
Eine Person beginnt oft, Müdigkeit in den Beinen zu versuchen, und beachten Sie eine geringfügige Abnahme der Mobilität von ein oder zwei Kniegelenke. Dieses Phänomen ist am Morgen in den ersten Minuten nach dem Erwachen besonders charakteristisch.
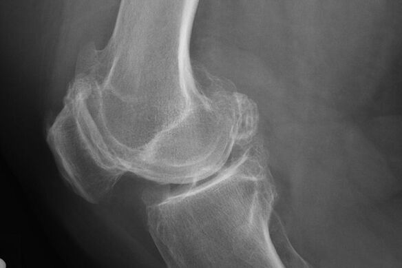
In der Regel tritt die Diagnose der Krankheit in diesem Stadium zufällig während eines Radius X auf. Der Arzt kann einige Unregelmäßigkeiten auf dem Knorpel sehen. Es ist auch möglich, das Licht zwischen den Teilen der Verbindung zu verengen.
Osteoarthritis des Kniegelenks 2 Grad
Die Pathologie des Kniegelenks scheint ausgeprägter zu sein. Der Aspekt des Schmerzsyndroms ist charakteristisch, der durch zusätzliche Belastung des Gelenks verursacht wird.
REFERENZ. In diesem Stadium verläuft der Schmerz nach einer langen Pause unabhängig.
Auch während der zweiten Stufe Symptome wie:
- Kristall mit bestimmten Bewegungen. Es kann sowohl in einem als auch in beiden Knien beobachtet werden. Das Knarren kann nur offensichtlich sein, erwirbt aber allmählich einen rauen, starken und sehr unterschiedlichen Charakter.
- Reduzieren Sie die Fähigkeit, das Bein im Knie vollständig zu falten. Einige Menschen können dies nur in einem Winkel von 90 Grad tun, so dass ein unangenehmes Gefühl erscheint und gezwungen ist zu stoppen.
- Einige Patienten mit zweitem Stadion -Gonartrose beschweren sich über das Auftreten starker Schmerzen, die auftreten, wenn das Kniegelenk gebeugt ist.
- Sie können die Form des Kniegelenks ändern, es wird breiter und schwillt an. Dies ist auf die Ansammlung pathologischer Flüssigkeit zurückzuführen.

Wenn das Unbehagen im Kniebereich festgestellt wird, ist es erforderlich, einen Arzt zu konsultieren, um die richtige Behandlung zu verschreiben.
Arthrose des Kniegelenks bei 3 Grad
- In diesem Stadium werden die Artikulationsgelenk, sehr starke strukturelle Knorpeländerungen des strukturellen Knorpels beobachtet. Das Wachstum, das große Dimensionen aufweist, tritt darauf auf.
- Sie bemerken die Krümmung des betroffenen Beins. Es erwirbt eine 0 -fischte Kurve im X X, die ein schwerwiegendes Hindernis für das volle Leben des Patienten wird. Infolgedessen kann eine Person eine behinderte Person werden.
- Ein charakteristisches Phänomen des dritten Stadiums der Krankheit ist starke Schmerzen, die ständig beobachtet werden kann und sich nach jeder Last, sogar Licht, verstärkt.
- Eine Person stellt die Empfindlichkeit des Gelenks gegenüber den Zeitveränderungen fest. Jetzt, da sich der Zyklon nähert, schmerzt das Knie die Empfindungen.

Mit dem Alter reagieren die Gelenke auf Veränderungen im Laufe der Zeit und des Drucks.
Arthrose des Kniegelenks 4 Grad
Es ist eine extreme endgültige Phase der Krankheit, in der die Lücke zwischen den Knochen vollständig fehlt.
REFERENZ. Die meisten Orthopäden führen die vierte Phase auf die dritte zurück. Dies ist auf die Ähnlichkeit der Symptome und die Komplexität der rechtzeitigen Diagnose zurückzuführen.
Da das Fehlen einer Lücke beobachtet wird, ist die Bewegung des Gelenks einfach unmöglich.
Darüber hinaus wird der Patient durch unerträgliche und ständige Schmerzen gequält, die nur durch schwerwiegende Schmerzmittel erleichtert werden. Aber nach einer Zeit, in der die Wirkung eines Tablets oder einer Injektion gestoppt wird, tritt erneut ein unangenehmes Symptom auf.
Diagnostik
Eine Untersuchung des Patienten beginnt mit seiner Bitte um Hilfe von einem Spezialisten. Sie können Therapeut oder Orthopädeer sein.
Der Arzt hört auf die Beschwerden, sammelt eine Anamnesis und leitet eine Prüfung. Erstens wird die Einschränkung der Mobilität in seinem Gebiet an externen Veränderungen in der Artikulation interessiert sein.

X -Ray hilft dabei, die Abweichungen im Knorpel zu identifizieren.
Während der Umfrage beschwert sich der Patient über das Erscheinen unangenehmer Empfindungen und mit einem Glanz der Knieschale wird ein Knirschen zu hören.
Wichtig! Eine Diagnose ist nach einer visuellen Untersuchung des Arztes nicht möglich, selbst bei allen Anzeichen der Krankheit. Mit nur einer vollständigen Prüfung können Sie eine genaue Antwort auf die Pathologie geben, die in das Knie fließt.
Nach der Untersuchung verschreibt der Arzt die Radiographie des Patienten. Dies ist die Hauptmethode zur Diagnose der Arthrose des Kniegelenks eines beliebigen Grades.
X -Ray gibt dem Arzt eine Vorstellung von den Änderungen, die im Knorpel des Gelenks auftreten. In einigen Fällen kann die Anfangsphase jedoch auf dem Foto nicht definiert werden.
Bei Bedarf kann der Arzt einen wiederholten Durchgang einer X -Strahl -Tomographie oder eine berechnete und Magnetresonanztomographie verschreiben.
Behandlung
Bei der Diagnose einer Gonartrose sollte die sofortige Behandlung beginnen. Dies wird dazu beitragen, den Fortschritt der Pathologie zu stoppen und viele Komplikationen zu verhindern.
Die Therapie der Krankheit verfolgt gleichzeitig mehrere Ziele. Das heißt:
- Eliminierung des Schmerzsyndroms,
- Abnahme der Schwere anderer Symptome,
- Die maximal mögliche Wiederherstellung des betreffenden Knorpels und der Bänder des Gelenks,
- Eine Zunahme der Gliedmaßenmobilität.
Die Behandlung der Krankheit umfasst Methoden wie:
- Arzneimitteltherapie,
- Massage, Osteopathie, manuelle Therapie,
- Operation,
- Physische medizinische und vorbeugende Ausbildung,
- Physiotherapie.
Drogenpflege
REFERENZ. Die pharmakologische Therapie ist die Hauptmethode zur Behandlung der Krankheit. Es ist jedoch erfolgreicher, wenn sie mit anderen Methoden kombiniert werden.
Zu den Medikamenten zur Behandlung von Gonartrose gehören:
- Nicht steroidale entzündungshemmende Medikamente - den Patienten von Schmerzen lindern, Entzündungen lindern. Diese Medikamente sind symptomatische Wirkstoffe, ohne die Ursache der Krankheit zu beeinflussen. Sie kämpfen nur mit seinen Ereignissen und bringen vorübergehend Erleichterung.
- Kondenrotektoren - Knorpelgewebe wiederherstellen. Der Effekt wird jedoch nicht sofort ersichtlich. Die Medikamente haben kumulative Eigenschaften (akkumulativ), daher braucht der Körper Zeit für ihre volle Wirkung.
- Hormonelle Medikamente. Sie werden in der Regel mit fortgeschrittenen Krankheitsphasen verschrieben. Diese Fonds können die Schwellung und Entzündung der Gewebe im Gelenk schnell lindern. Der Nachteil dieser Arzneimittelklasse ist die systemische Wirkung auf den Körper, bei dem viele unerwünschte Nebenwirkungen möglich sind. Sie werden nur in Zeitkursen während einer Verschärfung des Prozesses vorgeschrieben.
- Externe Drogen, entwickelt, um Schmerzen zu lindern. In Form von Salbe, Creme veröffentlicht.
- Hyaluronsäure. Es ist eine neue Lösung bei der Behandlung von Gonartrose. Es ist eine intra -kartikuläre Einführung eines Fahrzeugs, das die Verbindung nährt. Es hat ziemlich hohe Effizienz. Die Methode ist jedoch durch Mängel gekennzeichnet, wie z.
Wichtig! Die Einführung von Arzneimitteln in die gemeinsame Lücke ist in 7-10 Tagen nicht mehr als 1 Mal zulässig.
Massage
Die Massage sowie die manuelle und osteopathische Behandlung zielen darauf ab:
- Schmerzeladung,
- Überwinden Sie die Starrheit der Bewegungen in den Knien,
- Verbesserung des Blutflusses an der Knorpelstelle,
- Nährstoffe und Sauerstoff im Entzündungsbereich bereitstellen.
REFERENZ. Massage und ähnliche Verfahren sollten nur von einer Person mit einer besonderen Ausbildung durchgeführt werden. Andernfalls können Sie den Zustand des Gelenks beschädigen und verschlimmern.
Operation
Es ist ein extremes Maß bei der Behandlung von Arthrose, wenn die Krankheit extrem vernachlässigt wird und andere Therapiemethoden machtlos sind. Sehr oft wird enden -der Proposal verwendet, bei dem die betroffene Artikulation durch eine Anlage ersetzt wird.
Die Prothesen können zwei Arten ausmachen:
- voll: Die gesamte Verbindung wird ersetzt,
- Teilweise: Nur der am meisten konsumierte Teil der Gelenkverbindung unterliegt einem Ersatz.
Die Kontraindikationen für Prothesen sind:
- chronische eitrige Infektionen;
- neuromuskuläre Störungen;
- Fenenkrankheiten;
- Eine Reihe von Herz -Kreislauf -Erkrankungen.
Eine weitere Option ist die Korrekturosteotomie. Bei dieser Methode wird eine Platte in die Verbindung eingeführt, wodurch der Druck auf den betroffenen Bereich des Knies verringert wird.
Betriebstherapie
Es handelt sich um eine regelmäßige und korrekte Umsetzung einer Reihe von physischen Übungen, die darauf abzielen, die Artikulation zu stärken und ihre Mobilität wiederherzustellen.
Dieses Verfahren kann zu Hause unabhängig durchgeführt werden, nachdem er zuvor einen Spezialisten um Rat kontaktiert hat.
Verhütung
Nach einfachen Regeln verhindern sie das Auftreten oder Verschlimmerung der Zerstörung des Knorpels. Dafür brauchen Sie:
- Folgen Sie der Diät. Dies wird zur Kontrolle des Körpergewichts beitragen und dem Körper alle notwendigen Vitamine und Mineralien vermitteln.
- Halten Sie sich an bestimmte Sportarten und verlassen Sie andere. Tatsache ist, dass bei Gonartrose übermäßige Belastungen auf den Knien äußerst unerwünscht sind. Aus diesem Grund ist das Laufen und Springen besser durch Radfahren, Schwimmen oder Aquaerobik zu ersetzen.
- Führen Sie regelmäßig therapeutische Übungen durch.
- Tragen Sie bequeme und orthopedisch korrekte Schuhe. Es ist inakzeptabel, Stollen und High Heels, eine flache Sohle, zu tragen, die Schuhe mit einer kleinen Ferse bevorzugt.
Die Arthrose des Kniegelenks ist eine ziemlich häufige Krankheit, die lange Zeit unbemerkt bleiben kann. Trotz des asymptomatischen Beginns kann Gonartrose zu schwerwiegenden Komplikationen führen, was zu Behinderungen ist. Daher ist es so wichtig, die Diagnostik rechtzeitig durchzuführen und die erforderliche Behandlung zu beginnen.


















































